放射線技術科
CT
CT検査は、X線を利用して体内の情報を得ます。
得られたデータをコンピューターで処理し、身体の任意の方向の断層画像を得ることが出来ます。
比較的簡便に短時間で検査を行えます。レントゲン写真ではわかりにくい骨折など、骨の内部を調べる場合に有用です。また、造影剤を用いることにより、血管や腫瘍などの精密検査を行うこともできます。
当院では、画像解析ワークステーションを連携させて、質の高い画像診断を実施しています。

冠動脈CT
心臓の冠動脈(心臓自身を養う血管)も CTで検査しています。
従来のカテーテル検査は、腕または鼠径部の動脈から行うので検査後数時間の安静が必要でしたが、CTで行う場合は腕の静脈から行いますので、検査後の 拘束時間は必要ありませんし、入院の必要もありません。
ご希望の際は、循環器内科にご相談ください。

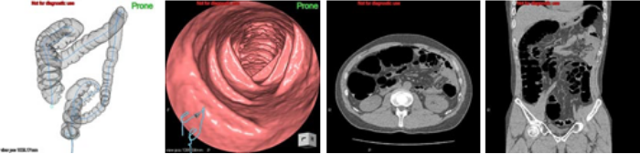
大腸CT
大腸の検査と言えば、これまでは内視鏡もしくは注腸と言われる大腸X線検査が主でした。しかし最近では大腸もCTで検査することができるようになりました。大腸CTは、大腸の中をあたかも内視鏡で見たかのような画像を得ることができます。またそれと同時に大腸X線検査のような画像、通常の腹部CTの画像も得られ、1回の検査で大腸だけでなく、腹部全体の画像診断を行うことができる検査であり、非常に有用です。ご希望の際は消化器内科にご相談ください。また大腸CTは大腸ドックとしても承っております。

検査について
精度は大腸カメラに劣りますが、比較的楽に大きい病変を見つけることができるといわれています(おしりからガスを入れるので個人差はあります)。また、お腹全体のCTをとるので他の臓器も同時に検査ができます。 内視鏡と比較して楽に受けられる検査だと言われています。以前大腸カメラをして辛かった方にはおすすめです。
検査の流れ
消化器内科外来または大腸ドックで予約をして頂きます。検査前日は腸に残りにくい食事と大腸CT用のバリウム製剤を摂取し、夜に下剤を内服し、当日午後から検査となります。お尻からチューブを入れ炭酸ガスを注入し、大腸を膨らませた状態で2回(場合によっては3回)CTを取ります。放射線の量は少なくして撮影しますので、以前の注腸検査よりも低被爆に行えると言われています。
検査前の注意事項
バリウム製剤を使用しますのでアレルギーのある方はご相談下さい。また下剤による前処置で腹痛が起こる場合があります。
内臓脂肪測定
内臓の脂肪量をCTで測定することができます。内臓脂肪の過剰な蓄積は、 高血糖や高脂血症を招き、動脈硬化の進行を早め、心筋梗塞や脳卒中などの リスクを高めることが知られています。
ご希望の際は放射線技術科にご相談ください。

